(Kimmelstiel-Wilson nodules ) nodules on thumb

Kimmelstiel-Wilson Nodules highlight with PAS stain; glomerular nodules in

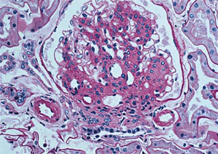
Glomeruli with Kimmelstiel-Wilson nodules. The smallest nodules can be more
Kimmelstiel-Wilson syndrome

Nodular Glomerosclerosis (Kimmelstiel-Wilson disease or intercapillary

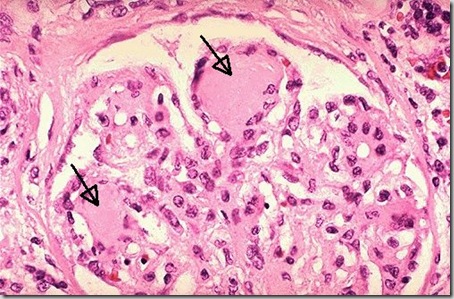
(A) Glomerulus with diabetic glomerulosclerosis and Kimmelstiel-Wilson

Nodular glomerulosclerosis. This is the lesion of Kimmelstiel-Wilson disease

Brightly eosinophilic Kimmelstein-Wilson nodules in a glomerulus of a

Histopathology of nodular glomerulosclerosis (Kimmelstiel-Wilson syndrome),

{08895} Kimmelstiel-Wilson diabetic nodular glomerulosclerosis, PAS

Diabetic kidney disease: at 5 o'clock - early Kimmelstiel-Wilson nodule,

Nodular diabetic glomerusclerosis is also known as Kimmelstiel-Wilson

{17158} Kimmelstiel-Wilson diabetic nodular glomerulosclerosis

Glomerulosclerose intercapilar nodular de Kimmelstiel-Wilson.
Histopathology of nodular glomerulosclerosis (Kimmelstiel-Wilson

Histopathology of nodular glomerulosclerosis (Kimmelstiel-Wilson syndrome),

Microscopic section of kidney showing severe thickening of the glomerular basement membrane with the formation of Kimmelstiel-Wilson nodules.

of nephrotic edema, proteinuria and hypertension, became synonymous with Kimmelstiel-Wilson Disease. Figure 1. Diffuse and Nodular Diabetic Sclerosis.

Glomerulosclerose intercapilar nodular de Kimmelstiel-Wilson.

Diabetic glomerulosclerosis with mesangial sclerosis and Kimmelstiel–Wilson

No comments:
Post a Comment